Forearm injuries and fractures
Peer reviewed by Dr Colin Tidy, MRCGPLast updated by Dr Hayley Willacy, FRCGP Last updated 15 Jan 2025
Meets Patient’s editorial guidelines
- DownloadDownload
- Share
- Language
- Discussion
The forearm is the part of the arm between the elbow and the wrist. It has two bones: the radius and the ulna. It also has lots of tendons which make your arm and wrist move. The bones can be broken in a few different ways, and the tendons can get sore through certain activities. This leaflet will go through what happens if you break a bone in your forearm, or if you have a sprain of the soft tissue in your forearm.
In this article:
Continue reading below
What is a forearm fracture?
A forearm fracture is a break in one or more of the forearm bones.
What are the bones in the forearm?
The forearm is pretty simple as it only has two bones in it: the radius and the ulna.
The radius is on the same side as your thumb, the ulna is on the side of your little finger. The bones actually touch each other down near your wrist, and also near your elbow. They can slide over each other so that your wrist can turn from facing up to facing down (like when you open a door handle).
Depending on the way you injure your forearm, you could break either the ulna (quite unusual), both bones (more likely) or just the radius (the most likely way to break a bone in your forearm).
What soft tissue is there in the forearm?
Soft tissue generally means tendons and ligaments, although it is quite unusual to damage a ligament in your forearm. But problems with the tendons are quite common. Tendons are a bit like white rubber bands. In the forearm they make your wrist move up or down (like the movement you would do if bouncing a ball on the ground). They also make your fingers move.
How are forearm bones broken?
In general the radius or ulna are broken by falling over and trying to break your fall with your hand.
If your palm is facing down to the ground then usually the radius bone will break and the bit nearest your wrist will be pushed upwards. This is called a 'Colles' fracture', named after Dr Colles who first described it in 1814. This pictures shows what a Colles' fracture looks like from the outside:
Colles fracture

By Dsprenkels, CC BY-SA 4.0, via Wikimedia Commons
A Colles' fracture doesn't necessarily need an operation. It can be manipulated back into position under local anaesthetic (a doctor can inject numbing medicine into your arm so it doesn't hurt, then move the bones back into position), then put into a plaster cast for about six weeks.
The opposite of this is if you fall but your wrist is bent over (or 'flexed') and you land on the back of your hand. This is called a Smith's fracture (named after a Dr Smith, also from the 1800s). This is generally more serious than Colles' fracture and often needs an operation to fix it with metal. It is not as common as a Colles' fracture.
The smaller bone in the forearm, the ulna, can also get broken. If it does break it's usually in a fall when the radius gets broken too. It is unusual to break the ulna by itself - perhaps by putting your arm up in defence if someone hits you with something.
If you are in late middle-age or older and sustain one of these broken bones, it is sometimes worth seeing if you have 'thinning' of the bones (osteoporosis).
Continue reading below
Forearm fractures in children
Children generally break a bone in their forearm from falling over and putting their hand out to stop themselves. So children usually get a Colles' fracture. Thankfully children's bones in the forearm are much better at healing than adult bones, so an operation is rarely needed. Rather, the bones can be pulled back into place while the child is under an anaesthetic (this is called a manipulation under anaesthesia (MUA).
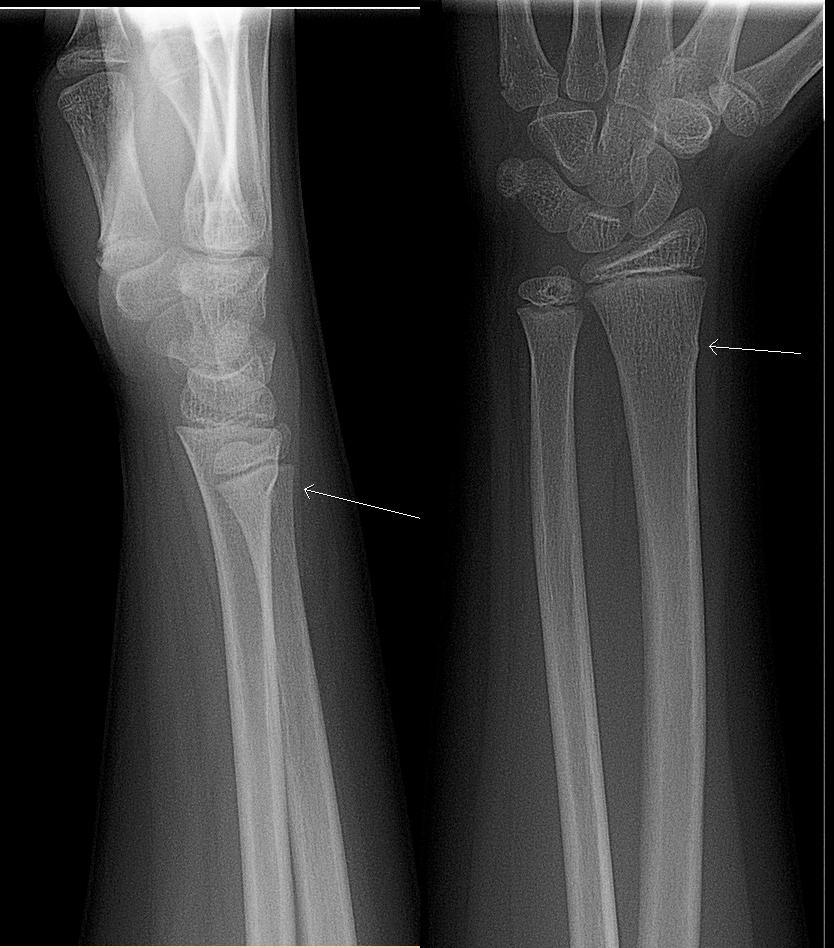
Often a child's forearm bone doesn't break fully but just gets distorted at the surface. This is called a 'greenstick' fracture and doesn't need an operation: it heals in a plaster cast. This X-ray shows a greenstick fracture at the white arrow: just a small bulge of the edge of the bone, rather than a break all the way across:
Greenstick fracture

By Lucien Monfils (Own work), CC BY-SA 3.0, via Wikimedia Commons
How long do forearm fractures take to heal?
In general, bones take three months to heal but 90% of that healing takes place in the first six weeks. That's why usually with a forearm fracture you are in a plaster cast for six weeks. In children their bones heal even faster.
Continue reading below
Can I do anything to help my forearm fracture heal quicker?
Don't smoke! Or if you do smoke, try to give up even if it's only temporarily. Smoking stops bones healing.
Eat healthily: your bones need nutrients to heal.
Try not to take too much ibuprofen, or other non-steroidal anti-inflammatories: they can slow down the healing process in bones.
What soft tissue injuries can happen in the forearm?
Generally problems with soft tissue (things that aren't bones) involve the tendons in the forearm. They usually result from overuse of your wrist or elbow. Types of soft tissue injuries are:
Tennis elbow
'Tennis elbow' (the medical term is lateral epicondylitis) occurs when the tendons on the outside surface of the elbow get inflamed and sore.
Golfer's elbow
Similarly, tendons on the inside surface of your elbow can get sore too: this is called 'golfer's elbow' (or medial epicondylitis in medical terms).
Treating forearm injuries
Generally the treatment for tendon problems is to rest your wrist and forearm and try to stop doing whatever movement is causing the problem in the first place. Physiotherapy can help, or wearing wrist or elbow supports.
This picture shows where the pain is felt, on the outside of the elbow, in tennis elbow:
Tennis elbow

By BruceBlaus, CC BY-SA 4.0, via Wikimedia Commons
The following picture shows where the pain is felt, on the inside of the elbow, in golfer's elbow:
Golfer's elbow picture

By www.scientificanimations.com, CC BY-SA 4.0, via Wikimedia Commons
Because the tendons in the forearm also move your fingers, you can get tendinopathy in your forearm if you are overusing your fingers. For example, if you do a lot of typing but aren't holding your hands in the right position, you might actually feel pain in your forearms (not your fingers).
Patient picks for Fractures

Bones, joints and muscles
Hip fracture
A hip fracture is another term for a broken hip. Doctors sometimes call a hip fracture a femoral neck fracture or a fracture of the neck of femur. It is a common injury in older people, especially women, with underlying 'thinning' of the bones (osteoporosis). It is the most common serious injury affecting older people that requires them to have emergency surgery.
by Dr Rosalyn Adleman, MRCGP

Bones, joints and muscles
Recovering from a pelvic fracture
A serious pelvic fracture is likely to need lengthy physical therapy and rehabilitation. Recovery times also depend on what other damage you experienced, particularly to the nerves that go to your legs.
by Dr Colin Tidy, MRCGP
Further reading and references
- Rafi BM, Tiwari V; Forearm Fractures.
- Buchanan BK, Varacallo M; Tennis Elbow
- Kiel J, Kaiser K; Golfers Elbow.
- Wheeless' Textbook of Orthopaedics; Pediatric Both Bone Forearm Fractures. Duke Orthopaedics. Cited from textbook online October 2024
Continue reading below
Article history
The information on this page is written and peer reviewed by qualified clinicians.
Next review due: 14 Jan 2028
15 Jan 2025 | Latest version

Ask, share, connect.
Browse discussions, ask questions, and share experiences across hundreds of health topics.

Feeling unwell?
Assess your symptoms online for free
Sign up to the Patient newsletter
Your weekly dose of clear, trustworthy health advice - written to help you feel informed, confident and in control.
By subscribing you accept our Privacy Policy. You can unsubscribe at any time. We never sell your data.